治療について
プロによるクリーニング
歯周病初期治療の内容です。
家ではみがきするのとどう違うのでしょうか?
歯周病は細菌による感染症です。原因はわかっていますのでまずはきっちりした検査を行い現状を知ることが大切です。
歯周病はその原因を理解し、コントロールしながら上手く付き合っていければ進行を防ぐことができます。
「一生自分の歯で食べたい!」という患者さんのために当院が行っている歯周病治療の流れを紹介します。
1.精密検査
現在のお口の状態を把握する
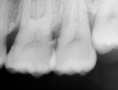
検査1)レントゲン撮影 歯を支えている骨がどのくらい残っているかレントゲンで確認します。

検査2)細菌検査 必要な場合は、虫歯や歯周病菌がお口の中にどのくらいいるか3000倍の大きさで確認できます。
検査3)実際に骨がどのくらい吸収されているかを測定します。
検査4)合っていないかぶせものやかみ合わせのチェックをします。
以上の結果より、現在の歯周病の進行状態を点数で分かりやすくお伝えし、治療方法、回数、セルフケアの方法などを提案します。
2.プロフェッショナルケア
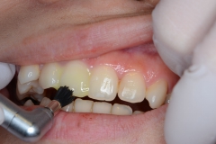
検査1)染め出し検査+記録
一見きれいそうにみえる歯も、 
歯垢染色剤を塗布してみると… 
こんなに汚れています。まずは、この歯垢をとりのぞきます。
スケーリング)
超音波スケーラーで歯ぐきの上についている歯石を除去します。
ルートプレーニング)
手用器具を使って歯ぐきの下についている歯石を除去します。
麻酔が必要になる場合もあります。
これで除去できない場合は、外科処置が必要になります。
歯面研磨)
専用のブラシとペーストを使い歯のザラザラした面をきれいにしていきます。



ラバーカップと細かい粒子のペーストを使いさらにつるつるに仕上げます

フッ素コーティング)
高濃度のフッ素を塗布し歯質を強化します。
